Before & After
CLINICAL CASES
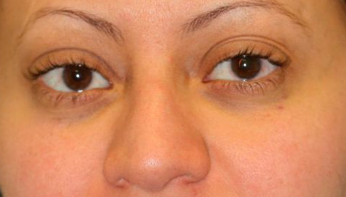
Mira Borge (Australia)
Opinion/Testimony about her change
Patient of Dr. Alió at Blue Green Medical
Surgery: Eye Color Change
Walter Ferreira accompanied by actress Maggie Civantos

COLOR: Emerald Green
Patient of Dr. Alió at Blue Green Medical
Surgery: Eye Color Change
ANOTHER CLINICAL CASES

























Important information:
Every simulation is very approximate to the real color in the human eye after the surgery.
In each patient, the color may vary a little.
CONCLUSION
Cosmetic cornea techniques achieve very good cosmetics results and are associated to high patients satisfaction. At this moment, case by case compassive indication under clinical trial in our center.
Further studies are being conducted in our R&D Department to complete the development of this technique






